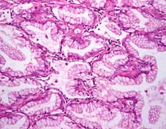
粘液産生を示す円柱形の癌細胞が、既存の肺胞壁に沿って増殖をしている。