右上葉に発生した腺癌。癌腫は上葉の末梢に存在し、胸膜の引き込み像がみられる。右上葉切除。

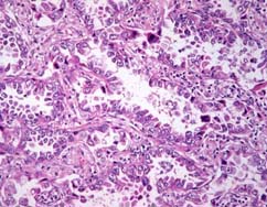
上の肺癌の顕微鏡写真。癌細胞が単層性に乳頭状配列を示し、固有の基質結合織の増生を伴っている。