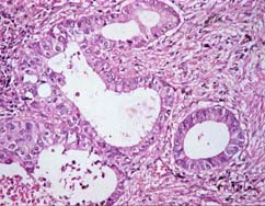
立方型あるいは不整型の癌細胞が管腔形成を示している。