扁平上皮癌
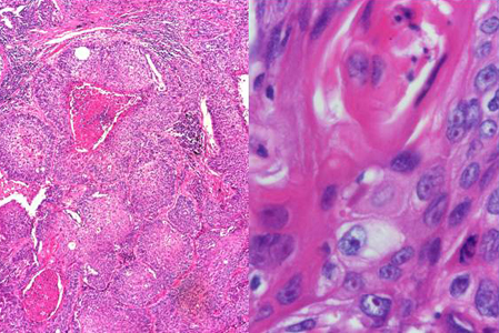
角化あるいは細胞間橋のどちらかを認めるものを扁平上皮癌と診断します。
層形成も見られることが多いですが、層形成は大細胞神経内分泌癌や類基底細胞癌でもみられますので、扁平上皮癌の根拠とはなりません。

左図の弱拡大で、腫瘍は胞巣を形成し、中心部に角化を認めます。右の強拡大で、細胞間橋と、細胞内角化を認めます。
扁平上皮癌の特殊型
第2版では、紡錘細胞癌が上げられていました。第3版では紡錘細胞癌は肉腫様癌に入れられています。
第3版の特殊型としては、
- 乳頭型
- 淡明細胞型
- 小細胞型
- 類基底細胞型
をあげています。
扁平上皮癌淡明細胞型

扁平上皮癌の淡明細胞型を示します。左に細胞質が淡明な細胞を多数認めます。一部では、右に示すように、角化を伴い扁平上皮癌への分化があることがわかります。